Chronic Rhinosinusitis Nasal Polyps Vs Normal - New Medication Advances Treatment For Chronic Rhinosinusitis With Nasal Polyps Harvard Health Blog Harvard Health Publishing : The inflammation of the paranasal sinuses is known as sinusitis.

Chronic Rhinosinusitis Nasal Polyps Vs Normal - New Medication Advances Treatment For Chronic Rhinosinusitis With Nasal Polyps Harvard Health Blog Harvard Health Publishing : The inflammation of the paranasal sinuses is known as sinusitis.. The inflammation of the paranasal sinuses is known as sinusitis. Chronic rhinosinusitis (crs) is a common disease that is characterized by chronic inflammation of the paranasal sinuses ongoing for at least 12 weeks. Crs with nasal polyps (crswnp) and crs without nasal polyps (crssnp). In another study, erythromycin or clarithromycin was given to patients with chronic rhinosinusitis with nasal polyps. Nasal polyps that originate in the ostiomeatal complex may block normal sinus ventilation and contribute to symptoms in patients with chronic rhinosinusitis with nps (crswnp).

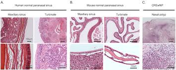
Fokkens wj, lund vj, mullol j, et al. Rhinitis is the inflammation of the mucosa overlying the nasal cavity. Chronic rhinosinusitis with nasal polyps (crswnp) is an inflammatory disease with recalcitrant symptoms. Chronic rhinosinusitis with nasal polyps (crswnp) is a persistent sinonasal mucosa inflammatory disease with still unclear pathophysiologic mechanisms that imply events of tissue repair and structural remodelling. Chronic rhinosinusitis with nasal polyps (crswnp) is a persistent sinonasal mucosa inflammatory disease with still unclear pathophysiologic mechanisms that imply events of tissue repair and structural remodelling.

Chronic Rhinosinusitis American Family Physician
Chronic Rhinosinusitis American Family Physician from www.aafp.org
Nasal polyps that originate in the ostiomeatal complex may block normal sinus ventilation and contribute to symptoms in patients with chronic rhinosinusitis with nps (crswnp). Scientists do not fully understand why some people form nasal polyps. Understand the influence that they exert on the remodelling of nasal mucous membranes in patients affected by crswnp vs normal. Wang c, lou h, wang x, et al. Establish treatment patterns and economic burden in us patients with chronic rhinosinusitis with nasal polyposis (crswnp) versus without chronic rhinosinusitis (crs). They last for 12 weeks or longer, the same time period as inflammation from nasal polyps. However, smaller nps in the ostiomeatal complex may not be detected via nasal speculum examination because they are difficult to visualize without rhinoendoscopy. Functional endoscopic sinus surgery is often required and successful for the initial management, but the disease process typically leads to recurrence of the polyps if medical therapy is not initiated.

Crs with nasal polyps (crswnp) and crs without nasal polyps (crssnp).

Crs has been divided into two subtypes based on the presence of nasal polyps: Together, this is known as chronic rhinosinusitis with nasal polyps (crwnp). As both clinicians and patients will attest, chronic rhinosinusitis with nasal polyposis (crswnp) represents a challenging disease to manage. Chronic rhinosinusitis with nasal polyps (crswnp) is an inflammatory disease with recalcitrant symptoms. The polyps can become large and numerous enough to clog the sinuses, causing symptoms. Asthma is often associated with chronic rhinosinusitis (crs), an inflammatory disease of the paranasal sinuses, and nasal polyps (np), which are swellings of the normal nasal lining due to inflammation. However, smaller nps in the ostiomeatal complex may not be detected via nasal speculum examination because they are difficult to visualize without rhinoendoscopy. Langdoc key points imaging should be used only in an appropriately triaged group of patients who have a clinical diagnosis of chronic rhinosinusitis. In rare cases, fungi can also give rise to this condition. User reviews for dupixent to treat chronic rhinosinusitis with nasal polyps. Chronic sinusitis with polyps is an inflammation of the sinuses that lasts more than 12 weeks and is associated with nasal polyps. Nasal polyps are associated with irritation and swelling (inflammation) of the lining of your nasal passages and sinuses that lasts more than 12 weeks (chronic sinusitis). They last for 12 weeks or longer, the same time period as inflammation from nasal polyps.

Effect of budesonide transnasal nebulization in patients with eosinophilic chronic rhinosinusitis with nasal polyps. As both clinicians and patients will attest, chronic rhinosinusitis with nasal polyposis (crswnp) represents a challenging disease to manage. J allergy clin immunol 2015; Langdoc key points imaging should be used only in an appropriately triaged group of patients who have a clinical diagnosis of chronic rhinosinusitis. In rare cases, fungi can also give rise to this condition.

Nasal Polyposis Or Chronic Olfactory Rhinitis Sciencedirect
Nasal Polyposis Or Chronic Olfactory Rhinitis Sciencedirect from ars.els-cdn.com
Some patients with chronic rhinosinusitis, nasal polyps, and asthma also have a condition called aspirin intolerance. Chronic sinusitis and nasal polyposis anthony a. Nasal polyps themselves are soft and lack sensation, so if they're small, you may not be aware you have. Understand the influence that they exert on the remodelling of nasal mucous membranes in patients affected by crswnp vs normal. Functional endoscopic sinus surgery is often required and successful for the initial management, but the disease process typically leads to recurrence of the polyps if medical therapy is not initiated. Asthma is often associated with chronic rhinosinusitis (crs), an inflammatory disease of the paranasal sinuses, and nasal polyps (np), which are swellings of the normal nasal lining due to inflammation. Chronic rhinosinusitis with nasal polyps (crswnp) is a persistent sinonasal mucosa inflammatory disease with still unclear pathophysiologic mechanisms that imply events of tissue repair and structural remodelling. As both clinicians and patients will attest, chronic rhinosinusitis with nasal polyposis (crswnp) represents a challenging disease to manage.

Key clinical points chronic rhinosinusitis with nasal polyps chronic rhinosinusitis with nasal polyps typically manifests as nasal obstruction, reduction in sense of smell, nasal discharge, and sle.

Determine comparative costs of subgroups with high clinical burden. They are associated with inflammation of the lining of your nasal passages and sinuses that lasts more than 12 weeks (chronic rhinosinusitis, also known as chronic sinusitis). Chronic rhinosinusitis is an inflammatory disease of the paranasal sinuses that occurs in 1% to 5% of the u.s. J allergy clin immunol 2015; Effect of budesonide transnasal nebulization in patients with eosinophilic chronic rhinosinusitis with nasal polyps. Chronic sinusitis with polyps is an inflammation of the sinuses that lasts more than 12 weeks and is associated with nasal polyps. Scientists do not fully understand why some people form nasal polyps. Nasal polyps may make you more likely to get sinus infections. In rare cases, fungi can also give rise to this condition. They last for 12 weeks or longer, the same time period as inflammation from nasal polyps. Chronic rhinosinusitis with nasal polyps (crswnp) is a chronic inflammatory disease of the paranasal sinuses; Together, this is known as chronic rhinosinusitis with nasal polyps (crwnp). The inflammation of the paranasal sinuses is known as sinusitis.

As both clinicians and patients will attest, chronic rhinosinusitis with nasal polyposis (crswnp) represents a challenging disease to manage. Fokkens wj, lund vj, mullol j, et al. Dupixent (dupilumab) is given by injection every two weeks. Chronic rhinosinusitis (crs) is a common disease that is characterized by chronic inflammation of the paranasal sinuses ongoing for at least 12 weeks. In another study, erythromycin or clarithromycin was given to patients with chronic rhinosinusitis with nasal polyps.

Patient Education Chronic Rhinosinusitis Beyond The Basics Uptodate
Patient Education Chronic Rhinosinusitis Beyond The Basics Uptodate from www.uptodate.com
In general, this condition accounts for a large portion of the sinus surgery performed. The ent may perform a nasal endoscopy exam and recommend additional testing, such as imaging studies, to make the diagnosis of chronic rhinosinusitis with nasal polyps. Crs has been divided into two subtypes based on the presence of nasal polyps: In the michigan area, and probably in the u.s. Genetics may play a role in the development of nasal polyps, along with having other health conditions involving inflammation of tissue and/or the upper respiratory tract, like chronic rhinosinusitis and allergic rhinitis (hay fever). Determine comparative costs of subgroups with high clinical burden. Understand the influence that they exert on the remodelling of nasal mucous membranes in patients affected by crswnp vs normal. Patients with asthma and crs with np (crswnp) tend to have severe asthma symptoms and low quality of life.

Nasal polyps that originate in the ostiomeatal complex may block normal sinus ventilation and contribute to symptoms in patients with chronic rhinosinusitis with nps (crswnp).

83% of those users who reviewed dupixent reported a positive effect, while 8% reported a negative effect. In general, this condition accounts for a large portion of the sinus surgery performed. Together, this is known as chronic rhinosinusitis with nasal polyps (crwnp). The inflammation of the paranasal sinuses is known as sinusitis. J allergy clin immunol 2015; Chronic rhinosinusitis with nasal polyps (crswnp) is a chronic inflammatory disease of the paranasal sinuses; Genetics may play a role in the development of nasal polyps, along with having other health conditions involving inflammation of tissue and/or the upper respiratory tract, like chronic rhinosinusitis and allergic rhinitis (hay fever). Patients with asthma and crs with np (crswnp) tend to have severe asthma symptoms and low quality of life. Scientists do not fully understand why some people form nasal polyps. Functional endoscopic sinus surgery is often required and successful for the initial management, but the disease process typically leads to recurrence of the polyps if medical therapy is not initiated. They last for 12 weeks or longer, the same time period as inflammation from nasal polyps. User reviews for dupixent to treat chronic rhinosinusitis with nasal polyps. Rhinitis is the inflammation of the mucosa overlying the nasal cavity.

The ent may perform a nasal endoscopy exam and recommend additional testing, such as imaging studies, to make the diagnosis of chronic rhinosinusitis with nasal polyps nasal polyps vs normal. 83% of those users who reviewed dupixent reported a positive effect, while 8% reported a negative effect.

Komentar