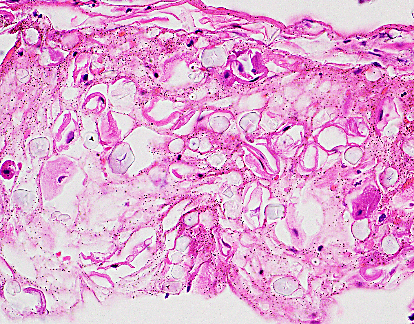
Hsv Esophagitis Histology - Pathology Outlines Herpes Simplex Esophagitis / 38 year old woman with esophagus ulcer;

Hsv Esophagitis Histology - Pathology Outlines Herpes Simplex Esophagitis / 38 year old woman with esophagus ulcer;. As the practice shows, hypodiagnostics of eosinophilic esophagitis and other eosinophilic gastrointestinal diseases takes place. Multinucleated giant cells, ballooning degeneration infectious esophagitis. Hsv esophagitis is usually identified in patients with aids or other significant immunosuppressive conditions, although cases in healthy adults also occur. Hsv1 latency sites after inoculation in the lip: Herpes esophagitis is a viral infection of the esophagus caused by herpes simplex virus (hsv).

Assessment of their localization and connections to the. It connects the pharynx to the stomach; Esophagitis may cause odynophagia and even esophageal hemorrhage, which is usually occult but can be massive. Cytomegalovirus esophagitis is a form of esophagitis associated with cytomegalovirus. Candidal esophagitis, mimicking cardiac achalasia.

Esophagitis An Overview Sciencedirect Topics
Esophagitis An Overview Sciencedirect Topics from ars.els-cdn.com
Esophagitis may cause odynophagia and even esophageal hemorrhage, which is usually occult but can be massive. The esophagus is a tube composed of a mucosal lining, and longitudinal and circular smooth muscle fibers. Herpes esophagitis is one of the infectious esophagitis that usually affects immunocompromised patients. Symptoms include dysphagia, upper abdominal pain, diarrhea, nausea, vomiting, and sometimes hematemesis. This condition occurs in the setting of patients with a weakened immune system who are susceptible. Although no single feature defines eoe. Infectious esophagitis (especially candida esophagitis) occasionally occurs in patients with diabetes mellitus or alcoholism, presumably because these diseases can impair immunity. As the practice shows, hypodiagnostics of eosinophilic esophagitis and other eosinophilic gastrointestinal diseases takes place.

Cmv esophagitis has been reported in patients who have undergone.

Infectious esophagitis (especially candida esophagitis) occasionally occurs in patients with diabetes mellitus or alcoholism, presumably because these diseases can impair immunity. Swallowed food and liquids normally pass through it. 38 year old woman with esophagus ulcer; Differential diagnosis between herpes simplex virus (hsv) esophagitis and cytomegalovirus (cmv) esophagitis is challenging because there are many similarities and overlaps between their. Abstract eosinophilic esophagitis (eoe) is a new disease. Esophagitis may cause odynophagia and even esophageal hemorrhage, which is usually occult but can be massive. Do stains to exclude fungal organisms. Cobblestone esophagitis (эзофагит со слизистой булыжной мостовой). Hsv esophagitis is usually identified in patients with aids or other significant immunosuppressive conditions, although cases in healthy adults also occur. Cmv esophagitis has been reported in patients who have undergone. The esophagus is a tube composed of a mucosal lining, and longitudinal and circular smooth muscle fibers. For the purpose of histological descriptions, the esophagus is subdivided into upper (entirely skeletal muscle in the muscularis externa),middle (mixed smooth and skeletal muscle) and lower (entirely. Clinical guidelines of the russian gastroenterological association.

Epidemiology it occurs as an opportunistic infection in immunocompromised patients. 38 year old woman with esophagus ulcer; Florid herpes esophagitis with diagnostic cowdry a inclusions and multinucleated cells with nuclear. Peptic strictures cause a gradually progressive dysphagia for solid foods. Cmv esophagitis has been reported in patients who have undergone.

Epigastric Pain Associated With Herpes Esophagitis Case Report Bmc Infectious Diseases Full Text
Epigastric Pain Associated With Herpes Esophagitis Case Report Bmc Infectious Diseases Full Text from media.springernature.com
Differential diagnosis between herpes simplex virus (hsv) esophagitis and cytomegalovirus (cmv) esophagitis is challenging because there are many similarities and overlaps between their. Also, they may be deep to the surface. Esophagitis is the second most common gastrointestinal (gi) manifestation of cytomegalovirus (cmv) infection after colitis. Epidemiology it occurs as an opportunistic infection in immunocompromised patients. Florid herpes esophagitis with diagnostic cowdry a inclusions and multinucleated cells with nuclear. The cases of esophagitis caused by hsv can be endoscopically characterized by multiple ulcers as they are punched out with sharp edges or borders. Abstract eosinophilic esophagitis (eoe) is a new disease. Swallowed food and liquids normally pass through it.

Although no single feature defines eoe.

38 year old woman with esophagus ulcer; Abstract eosinophilic esophagitis (eoe) is a new disease. Multinucleated giant cells, ballooning degeneration infectious esophagitis. Cytomegalovirus esophagitis is a form of esophagitis associated with cytomegalovirus. Histology for hsv esophagitis shows nuclear molding, margination, and multinucleation of infected. „ histology shows koilocytosis (atypical ringed nucleus), giant cells. Herpes esophagitis is one of the infectious esophagitis that usually affects immunocompromised patients. Labetoulle m, maillet s, efstathiou s, dezelee s, frau e, lafay f. Looking to download safe free latest software now. The cases of esophagitis caused by hsv can be endoscopically characterized by multiple ulcers as they are punched out with sharp edges or borders. Diagnostics and treatment of infectious esophagitis: Clinical guidelines of the russian gastroenterological association. Esophagitis, also spelled oesophagitis, is a disease characterized by inflammation of the esophagus.

Cytomegalovirus esophagitis is a form of esophagitis associated with cytomegalovirus. Candidal esophagitis, mimicking cardiac achalasia. Assessment of their localization and connections to the. Peptic strictures cause a gradually progressive dysphagia for solid foods. 38 year old woman with esophagus ulcer;

Pathology Outlines Herpes Simplex Esophagitis
Pathology Outlines Herpes Simplex Esophagitis from www.pathologyoutlines.com
Herpes esophagitis is a viral infection of the esophagus caused by herpes simplex virus (hsv). „ histology shows koilocytosis (atypical ringed nucleus), giant cells. Florid herpes esophagitis with diagnostic cowdry a inclusions and multinucleated cells with nuclear. Diagnostics and treatment of infectious esophagitis: Abstract eosinophilic esophagitis (eoe) is a new disease. Candidal esophagitis, mimicking cardiac achalasia. Labetoulle m, maillet s, efstathiou s, dezelee s, frau e, lafay f. Acute esophagitis occasionally afflicits the esophagus.

„ histology shows koilocytosis (atypical ringed nucleus), giant cells.

Although no single feature defines eoe. Cmv esophagitis has been reported in patients who have undergone. The cases of esophagitis caused by hsv can be endoscopically characterized by multiple ulcers as they are punched out with sharp edges or borders. Cobblestone esophagitis (эзофагит со слизистой булыжной мостовой). Assessment of their localization and connections to the. This condition occurs in the setting of patients with a weakened immune system who are susceptible. Multinucleated giant cells, ballooning degeneration infectious esophagitis. Esophagitis may cause odynophagia and even esophageal hemorrhage, which is usually occult but can be massive. Cytomegalovirus esophagitis is a form of esophagitis associated with cytomegalovirus. Histology for hsv esophagitis shows nuclear molding, margination, and multinucleation of infected. Also, they may be deep to the surface. Labetoulle m, maillet s, efstathiou s, dezelee s, frau e, lafay f. For the purpose of histological descriptions, the esophagus is subdivided into upper (entirely skeletal muscle in the muscularis externa),middle (mixed smooth and skeletal muscle) and lower (entirely.

„ histology shows koilocytosis (atypical ringed nucleus), giant cells hsv esophagitis. Cytomegalovirus esophagitis is a form of esophagitis associated with cytomegalovirus.

Komentar